Drag the arrows back and forth to view complete Before and After views


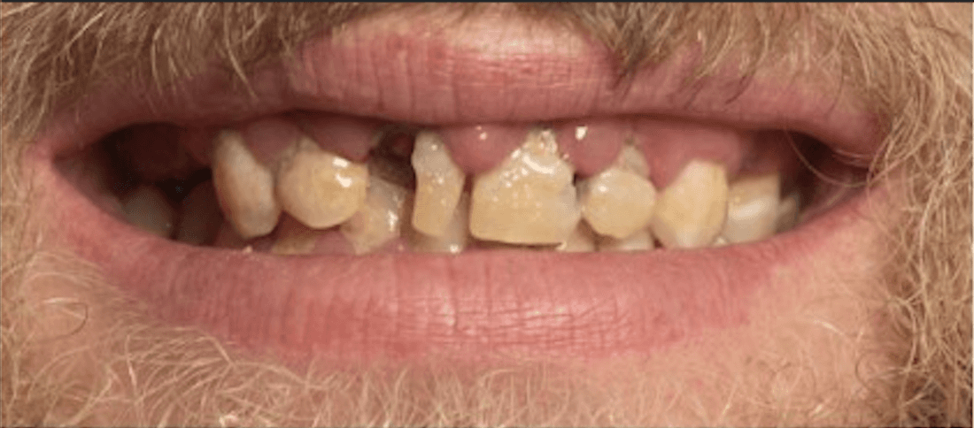
It's Nice To Be Able To Smile Again.
They are great! Very friendly and I'm really pleased with the work they have done. It's nice to be able to smile again
- Joshua
They are great! Very friendly and I'm really pleased with the work they have done. It's nice to be able to smile again
- Joshua