
Cosmetic Dentistry
While your health is our priority, we also understand the benefits of a beautiful, confident smile.
If you are unhappy with the appearance of your teeth, modern cosmetic dentistry offers the solution you need. When you discuss your aesthetic goals with your cosmetic dentist, we can design a comprehensive treatment plan just for you!
Teeth Whitening
Whitening your teeth is one of the most straightforward and cost-effective smile improvements. Drugstore whitening kits may be cheap and easy to find, but nothing beats a professional teeth whitening service supervised by your cosmetic dentist.
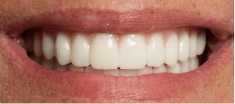
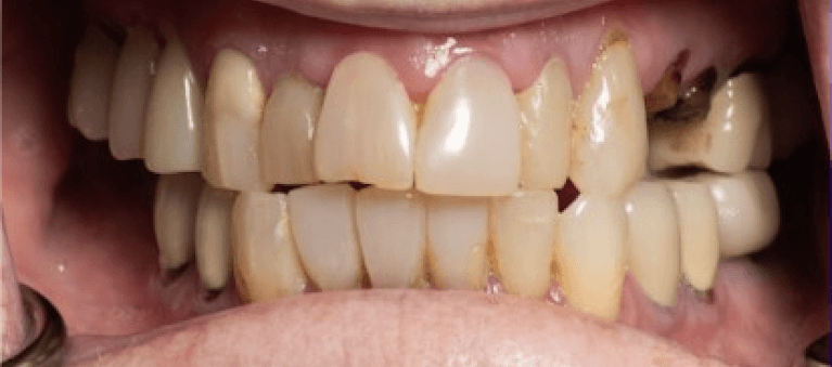
Porcelain Veneers
When you see a movie star with perfect teeth, there's a good chance that porcelain veneers were used to craft that smile!
A veneer is a super-thin shell of porcelain or composite resin bonded to the front surface of your tooth. We commonly use veneers to correct cosmetic problems by improving a tooth's color, shape, length, or size. You can get one veneer or multiple, depending on your aesthetic goals.
Cosmetic Fillings
If you need a filling, we can use one of two popular materials: silver amalgam or tooth-colored composite resin. Both have proven to be safe and effective.
The difference is the cosmetic result.
Amalgam is a traditional metal filling that creates a visible silver or gray spot against the white of your tooth; composite resin fillings, on the other hand, match your natural tooth shade for a seamless, invisible repair.
Another use for composite resin is dental bonding. Our cosmetic dentist applies the material while it's in a putty-like state and shapes it to perfectly match the shape and contours of your tooth. After the material is hardened, we polish it for a flawless appearance.
Schedule a Consultation Today!
Your first step toward a perfect smile is to contact our office to schedule a consultation. Your dentist will listen to your concerns and design a personal treatment plan!
Specials
Complimentary Cosmetic Consultation
Discover how you can achieve the smile you’ve always wanted with our Complimentary Cosmetic Consultation. At no cost, we’ll walk you through your options and help you create a personalized plan.
During your visit, you will receive:
- A complete oral exam
- Photos of your smile for evaluation
- A one-on-one consultation with Dr. Coleman
- A discussion of your smile goals
- An overview of available treatment options
- Answers to all of your questions
Call 334-300-2402 to schedule your appointment, or click the button below to contact us.
View
Frequently Asked Questions
We offer a range of cosmetic dentistry services such as veneers, porcelain crowns, bonding using tooth-colored composite, and even orthodontic treatments. All our dentistry is done with an eye toward aesthetics. We know that it's important that your teeth are both healthy and attractive. If you'd like to find out which of our services can help you meet your goals, call our office to schedule your consultation.
Our Team
-
Dr. Sam Coleman
Originally established in 2004, our dental practice has been a staple in the Tallassee community for decades. In 2025, Dr. Sam Coleman, a Wetumpka native, took over the reins with a fresh perspective and a strong commitment to preserving the hometown feel patients know and love. We serve patients of all ages and backgrounds, many of whom are friends, neighbors, and even family. Here, you'll find a laid-back atmosphere and a team who truly cares. Dr. Coleman takes the time to get to know each patient, explain ...
View
Cosmetic Dentistry Technology

Intraoral Cameras
What if you could see exactly what your dentist sees? You'd probably find it simpler to make informed decisions about your oral health!
Intraoral cameras allow you to do precisely that. Using a small digital camera embedded in a wand, the dentist can move it around your mouth and transmit the images instantly to a chairside monitor. This allows you to clearly see everything the dentist describes, including damage to the teeth and signs that might indicate periodontal disease.
Testimonial
The Best Dentist in The World.
The best dentist in the world. I promise you this office cares about your smile. I've had a chipped front tooth for years and now it's finally fixed and I can smile. Affordable, kind, professional, clean, and the best all around person you could ever do business with. I would recommend this office to anyone. THANK YOU SO MUCH FOR MY SMILE (LIFE) BACK.
- Michael