Tallassee Dental
Dr. Sam Coleman
Tallassee Dental
Dr. Sam Coleman
Request an Appointment
Like us on Facebook
Leave a Google Review
(334) 283-8115
Tallassee Dental
Home
About
Our Team
Dr. Sam Coleman
Technology
Services
View All
Emergency Dentistry
Extractions
Dentures and Partials
General Dentistry
Crowns and Bridges
Sedation Dentistry
Smile Makeovers
Implants
Cosmetic
Smile Gallery
Patient Info
View Patient Info
Testimonials
Financial
Specials
FAQs
Contact
Tallassee Dental
>
Smile Gallery
>
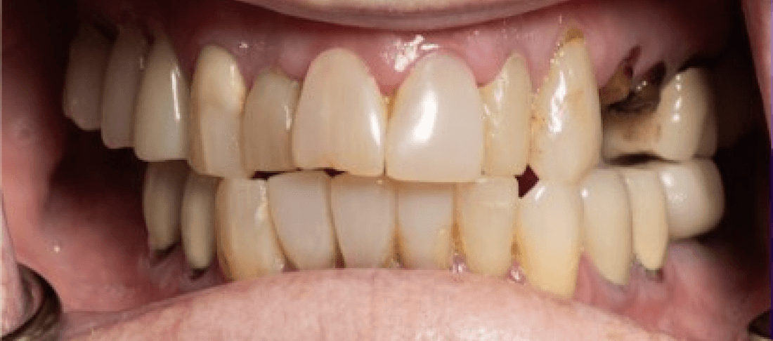
Upper/ Lower All-On-4 Fixed Prosthesis
Upper/ Lower All-On-4 Fixed Prosthesis
Return to Smile Gallery
Previous
Next
Related Services:
Cosmetic Dentistry
Drag the arrows back and forth to view complete Before and After views
Have Questions? Get in Touch
Contact Us
If you have difficulty using our website, please
email us
or call us at
(334) 283-8115
View the
ADA Accessibility Statement
Turn on ADA Views
Privacy Policy
OK!
×
×
Contact Us Today
Give Us A Call
Tallassee Dental -
(334) 283-8115
Send Us an Email
Request an Appointment
Contact Us
Ready to Schedule an Appointment?
Book Online
Have Questions? Contact Us:
Required Field
Your Name:
Phone:
Email:
Are you a new patient?:
Are you a?
New Patient
Current Patient
How would you like us to contact you?
Please choose
Email
Call
How did you hear about us?
Please choose
I'm an existing patient
Google/Bing
Mailer
Word of mouth
Social media
Other
Who Referred You?:
Appointment Preferences
Monday
Tuesday
Wednesday
Thursday
Your Message:
This site is protected by reCAPTCHA and the Google
Privacy Policy
and
Terms of Service
apply.
Sending...
×
This Patient's Experience
Loading Testimonial...
Loading Case...